マイオブレース(MRC矯正)とは

阪急塚口駅から徒歩6分の総合歯科医院

BLOG
小児歯科
矯正治療
塚口オオマチ歯科・矯正歯科院長の大間知です。
今回は「マイオブレース(MRC矯正)とその他の小児矯正の違いが分からずどれを選べば良いか分からないというお声が多かったので、分かりやすくご説明させていただきます。
歯並びだけでなく口呼吸やいびき、滑舌の改善にも期待出来ますので、お子さまやお孫さまに矯正治療を検討されている方にぜひ最後まで読んでいただきたい内容です。
「マイオブレース(Myobrace)」とは、オーストラリアで生まれた新しいタイプのマウスピース型の矯正装置で、主に5歳~8歳くらいまでのお子さまが対象となっております。歯並びを悪くする癖を取る為に成人にも適応する為、当院のスタッフも使用しています。
この治療は、歯を強い力で動かすのではなく、「歯並びを悪くする原因」そのものを改善していくことを目的としています。
具体的には、マウスピースを日中1時間~2時間と就寝時に装着し、「口呼吸」「舌の位置」「唇の使い方」「飲み込み方」などのをお口周りの筋肉を鍛えるトレーニングを並行して行うことで、自然な成長の力を活かして歯並びを改善していく方法です。
従来のようにワイヤーで歯を引っ張って動かすわけではないので、痛みや見た目のストレスが少ないという点も、お子さまや保護者さまに選ばれている理由の一つです。
また、マウスピースは柔らかいシリコン素材でできており、取り外しもできるため、学校生活に支障をきたすことが少ないのも特徴です。

マイオブレースは「MRC矯正」とも呼ばれます。
これは、開発元の会社「Myofunctional Research Company(マイオファンクショナル・リサーチ・カンパニー)」の略称です。
世界100カ国以上で子どもの成長期矯正として取り入れられており、日本でも人気が高まっています。
マイオブレースには、他の矯正方法にはない「根本改善型のアプローチ」があります。 ここでは主な特徴を詳しく紹介します。
つまりマイオブレースは、「歯並びを整えるだけでなく、正しい呼吸や舌の使い方など、お口の機能全体を整える矯正法であり、ひいては全身の成長や健康をもサポートする治療法」なのです。
健康的な成長をサポートできるという点で、今注目されています。

では、他の小児矯正と比べるとマイオブレースにはどのような違いがあるのでしょうか?
代表的な矯正法である「床矯正」「ワイヤー矯正(ブラケット矯正)」「プレオルソ」と比較してみましょう。
これらとマイオブレースの大きな違いは、「歯の位置」ではなく「歯並びを悪くする原因」に着目しているという点です。
たとえば、口呼吸のままだと舌の位置が低くなり、上顎の成長が抑えられてしまいます。その結果、出っ歯やガタガタの歯並びにつながります。
マイオブレースはこのような根本的な要因を改善し、自然な顎の成長を促すことを目的としています。
また、ワイヤー矯正などの固定式装置では痛みや見た目の問題、歯磨きの難しさなどがネックになりますが、マイオブレースは取り外し式で衛生的かつ快適です。
お子さまの日常生活に負担をかけずに治療を続けられる点が、大きな違いといえるでしょう。
それぞれの矯正方法を比較してみましょう。
治療法には開始時期や特徴、メリット・デメリットがあり、お子さまの成長や性格に合った選択が大切です。
| 矯正方法 | 時期 | メリット | デメリット |
|---|---|---|---|
| マイオブレース | 6〜9歳頃 | ・将来的に後戻りしにくい | ・トレーニングの継続が必要 ・取り外し可能な為、使わないと治らない ・対象年齢が小さいので、親御さんのご協力が必要 |
| 床矯正 | 6〜11歳頃 | ・顎を広げて歯の生えるスペースを確保 ・取り外し可能で清掃しやすい | ・後戻りの可能性がある ・可能な時期が限られており、治療期間が長い ・口呼吸や舌癖など原因の改善はできない |
| ワイヤー矯正 | 12歳以降 | ・歯を正確に動かせる ・重度の不正咬合にも対応可能 ・確実な仕上がりが期待できる | ・後戻りの可能性がある ・装置が目立つ ・痛みや違和感がある ・歯磨きがしづらく虫歯・歯肉炎のリスクが高い ・金属アレルギーの心配がある |
| プレオルソ | 5〜10歳頃 | ・痛みが少なく取り外しも可能 ・装着時間が短く学校生活に支障がない | ・適用範囲が限られている ・取り外し可能な為、使わないと治らない ・対象年齢が小さいので、親御さんのご協力が必要 |
このように比較すると、マイオブレースは「歯を動かす矯正」ではなく、歯並びを悪くする原因を整えて根本から改善することにより、全体的な発育や健康に良い影響を与えます。
当院では、マイオブレースをはじめとする小児矯正に力を入れています。
MRC治療において僕が最も尊敬する先生を医院にお呼びして、医院全体でMRCを学んだりもしています。

当院でMRCの治療に当たっているドクターとエデュケーターには、たくさんの勉強会に参加してもらったり、たくさんの医院に学びに行ってもらっています。

また行った勉強会で学んだ事を医院に落とし込んでもらったりと医院全体での学びを強化しています。

常に最新の知識をアップデートしながら最良な成果を出せるように医院全体で取り組んでいます。
既に針金を使った矯正やマウスピース矯正をせずに、MRCのみでキレイに並んでいるお子さんもたくさんいます。

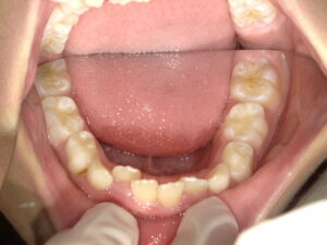
☝️治療前

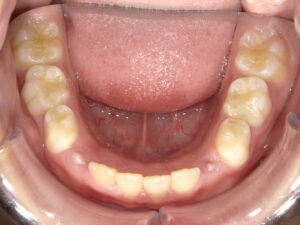
☝️治療後 まだ生え替わりを待っているので治療は終了はしていません。
お子さま一人ひとりの成長に合わせた矯正計画を立て、無理なく継続できるようサポートしています。
また、お子様が歯医者嫌いにならないように、スタッフ全員で優しく楽しい対応を心がけています。

マイオブレースは、歯並びだけでなく、お子さまの呼吸・舌の位置・姿勢など「お口の機能全体」を整える矯正治療です。
痛みが少なく、見た目にも優しく、装置の取り外しも簡単。お子さまが嫌がりにくいのも特徴です。 従来の矯正との違いは、「結果」だけでなく「原因」にアプローチする点。
早めに始めることで、将来的に本格的な矯正や抜歯が不要になる可能性もあります。
当院では、こうしたマイオブレースの考え方に共感し、「成長を味方につける矯正」を大切にしています。
初めての方でも安心してご相談いただけるよう、カウンセリングや検査から丁寧に進めて参ります。
お子さまやお孫さまの歯並びが気になる方は、ぜひ一度当院へご相談ください。
塚口オオマチ歯科・矯正歯科でお待ちしております。