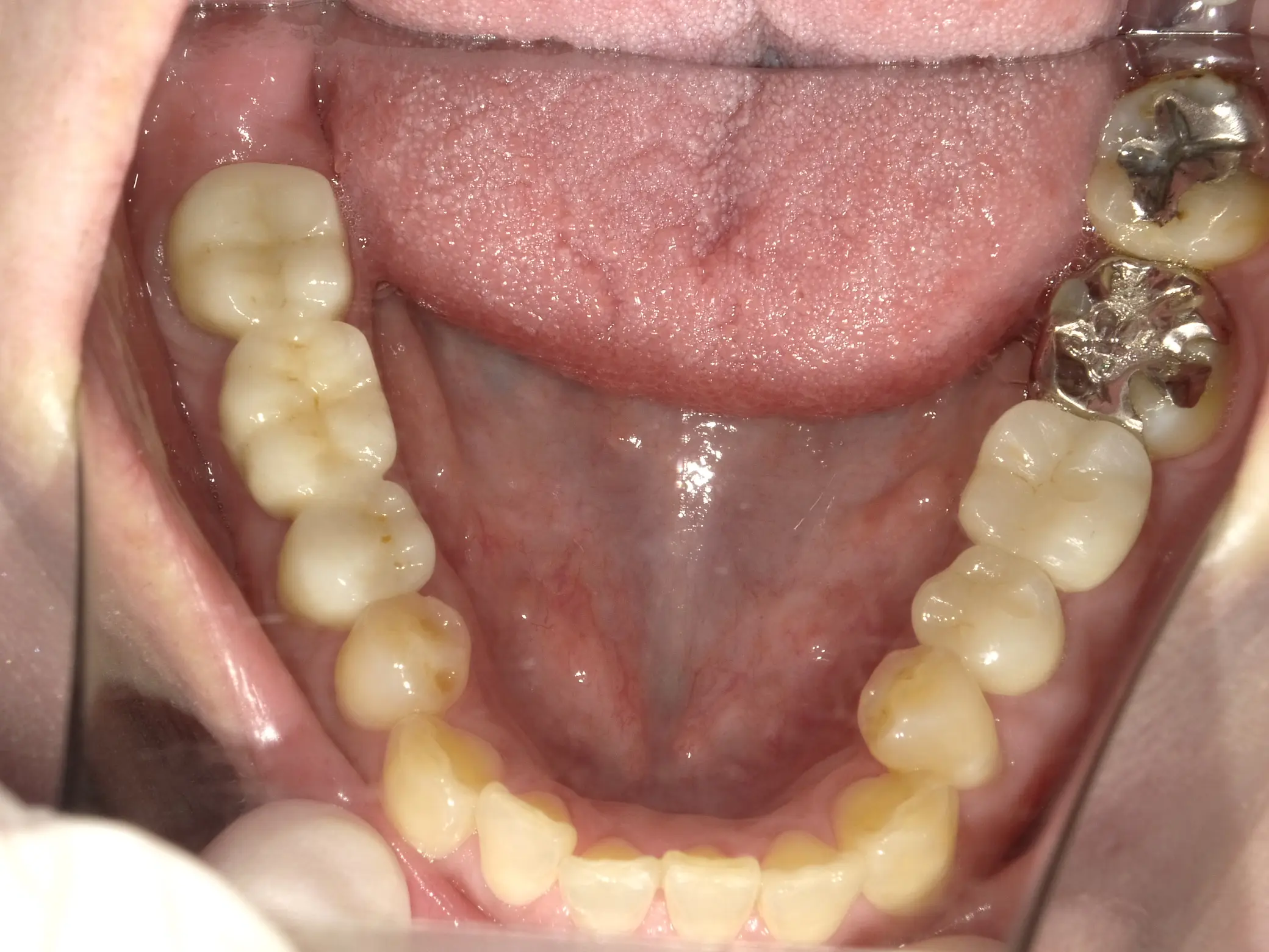
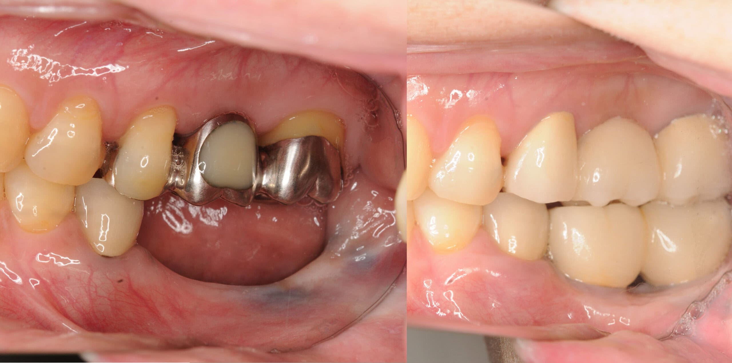
左下ブリッジ部位に発生した歯根病変に対するインプラント治療症例 初診時の状況 症例概要 患者:女性 年齢:51歳 主訴:左下奥の歯ぐきが腫れて痛い 治療部位:左下第二小臼歯・第一大臼歯(ブリッジ部位) 治療期間:約1年間 […]
2025年10月17日
インプラント
阪急塚口駅から徒歩6分の総合歯科医院

BLOG

左下ブリッジ部位に発生した歯根病変に対するインプラント治療症例 初診時の状況 症例概要 患者:女性 年齢:51歳 主訴:左下奥の歯ぐきが腫れて痛い 治療部位:左下第二小臼歯・第一大臼歯(ブリッジ部位) 治療期間:約1年間 […]
2025年10月17日
インプラント

左下大臼歯二本欠損に対するGBR併用インプラント治療症例 初診時の状況 症例概要 • 患者:女性 • 年齢:51歳 • 主訴:虫歯がある、歯がしみる • 治療部位:左下第一大臼歯・第二大臼歯(来院時より欠損) • 治療期 […]
2025年10月9日
インプラント

初診時の状況 症例概要 患者:男性 年齢:40歳 主訴:歯がグラグラする、歯ぐきが痛い・腫れている 治療部位:左下第一大臼歯(歯根破折) 治療期間:1年3ヶ月 問診 患者様は「下の奥歯の違和感があり、噛むと痛い」とのこと […]
2025年9月12日
インプラント

初診時の状況 症例概要 患者:女性 年齢:29歳 主訴:他院より紹介。欠損補綴の選択肢としてブリッジ・入れ歯・インプラントの説明を受け、インプラントを希望 治療部位:左右の第一大臼歯 治療期間:約10か月 問診 患者様は […]
2025年8月29日
インプラント

初診時の状況 症例概要 患者:男性 年齢:76歳 主訴:右上の歯二本がグラグラして気になる。抜歯が必要なのであればインプラントを希望 治療部位:上顎右側第二小臼歯(1本) 治療期間:1年間 問診 右上の二本の歯がグラグラ […]
2025年8月12日
インプラント

塚口オオマチ歯科・矯正歯科、院長の大間知です。 本日はよく質問のある「インプラントとMRI」について書かせていただきます。 「インプラント治療を受けたらMRI検査が受けられなくなるのでは?」と心配される方も多いかと思いま […]
2025年6月8日
インプラント

塚口オオマチ歯科・矯正歯科、院長の大間知です。 本日は「インプラントに使うサージカルガイド」について書かせていただきます。 インプラント治療は失った歯を補うための最先端の治療法であり、自然な見た目と機能を回復できることで […]
2025年6月1日
インプラント

塚口オオマチ歯科・矯正歯科、院長の大間知です。 本日はよく質問のある「インプラントと差し歯の違い」について書かせていただきます。 歯科治療にはインプラントの他にも差し歯やブリッジなどさまざまな治療方法がありますが、それぞ […]
2025年5月24日
インプラント

塚口オオマチ歯科・矯正歯科、院長の大間知です。 本日は「インプラント周囲炎」について書かせていただきます。 インプラント治療は歯を失った方にとって、自然に近い見た目と機能を取り戻せる優れた治療法です。しかし、適切なケアを […]
2025年5月21日
インプラント

塚口オオマチ歯科・矯正歯科、院長の大間知です。 本日はよく質問のある「インプラントの適正年齢」について書かせていただきます。 インプラント治療は、失った歯を人工の歯根で補う方法として非常に効果的です。しかし、「インプラン […]
2025年5月14日
インプラント