
BLOG
歯の豆知識
インプラント
インプラント症例:51歳女性のケース
左下大臼歯二本欠損に対するGBR併用インプラント治療症例
目次
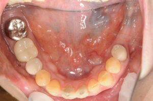
初診時の状況
![]()
症例概要
• 患者:女性
• 年齢:51歳
• 主訴:虫歯がある、歯がしみる
• 治療部位:左下第一大臼歯・第二大臼歯(来院時より欠損)
• 治療期間:1年9ヶ月
問診
患者様は「虫歯があり、冷たいものがしみる」とのことで来院されました。診査を進めると、左下の奥歯が長期間欠損していることがわかりました。
• 第一大臼歯は中学生の頃に虫歯で抜歯し、その後ブリッジを装着して治療
• 第二大臼歯は約10年前に抜歯。部分入れ歯を作ったが、違和感と歯ぐきの痛みで装着を断念
この結果、左下奥歯の欠損は広範囲に及び、長期的に反対側や前歯に負担をかける状態になっていました。患者様は「できるならインプラントでしっかり噛めるようになりたいが、手術が怖い」と不安を口にされていました。
口腔内所見
レントゲン写真で確認すると、欠損期間が長いために歯槽骨の吸収が進行しており、インプラントをそのまま埋入するには骨量が不足していました。特に第一大臼歯部はブリッジの影響もあり、骨の幅が薄くなっていました。
このため、骨造成(GBR)を併用して十分な骨量を確保する必要があると診断しました。
治療内容
1. 初期治療
患者様は腫れることを懸念されており、初診時の夏場に腫れることは避けたいとおっしゃていました。したがって、まずは希望だれていたホワイトニングや虫歯治療を実施しました。審美的な改善が得られたことで、治療へのモチベーションが高まりました。
2. GBR(骨造成)
左下大臼歯部にGBRを施術。人工骨と吸収性膜を用いて骨の再生を促しました。術後は少々の腫れが出ましたが、適切な投薬とケアでコントロールでき、経過は良好でした。
3. 骨成熟の確認
半年後、レントゲンで人工骨がしっかりと馴染み、骨の再生が確認できました。これにより、予定通りインプラント埋入が可能となりました。
4. インプラント埋入
局所麻酔下で左下第一・第二大臼歯部に2本のフィクスチャーを埋入。サージカルガイドを使用し、安全かつ正確な位置に配置しました。手術時間は約1時間で、合併症なく終了しました。
5. 対合歯の補綴再製作
長期間の欠損により、上顎の対応する歯が挺出してきており、咬合スペースが不足していました。そのため、上顎のブリッジを再製作し、正しい咬合関係を確保しました。
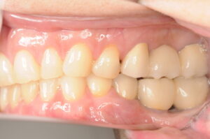
6. 上部構造の作成と装着
埋入後9か月間、骨とインプラントの結合を確認。問題がなかったため、最終的にジルコニア製の上部構造を作成し装着しました。見た目も自然で、機能性も回復しました。
![]()
![]()
治療後の経過
治療開始から約1年9ヶ月を経て、左下奥歯2本がインプラントで再建されました。両側でバランス良く噛めるようになり、長年抱えていた咀嚼の不自由さが解消されました。
患者様の感想
「10年前に左下の奥歯を抜歯してから、左下では物が噛めなくなり、部分入れ歯も作りましたが違和感と歯ぐきの痛みで使えなくなりました。
中学生の頃に抜いた奥歯はブリッジを入れていましたが、それも長持ちせず、ずっと“いつかインプラントを”と思いながら費用や手術が怖くて踏み切れませんでした。
そんな時、衛生士の姪から“オオマチ歯科クリニックでもインプラントができる”と聞き、院長先生に相談しました。不安を1つずつ解消していただき、スタッフの方々に励まされ、3回の手術を乗り越え念願のインプラントを入れることができました。
今では左右両側で噛めるようになり、本当に幸せです。」
インプラントの良さ(今回のケースから)
• 長期間欠損でも骨造成を行えば治療可能
• 両隣の歯を削らずに済む
• 入れ歯に比べて違和感が少なく、安定して噛める
• 噛む力が戻り、全体の咬合バランスが改善
長持ちさせるためのポイント
• 歯ブラシに加え、歯間ブラシやフロスで丁寧に清掃
• 3〜4か月ごとの定期検診とクリーニング
• 咬み合わせのチェックを継続
• インプラント周囲炎の予防に努める
まとめ
今回の症例は、第一大臼歯を中学生時に抜歯・ブリッジ治療、その後第二大臼歯も欠損したことで、長期にわたり左下奥歯の咀嚼機能を失っていたケースです。
GBRによる骨造成を経てインプラント埋入を行い、最終的に2本のインプラントで機能を回復しました。
治療には1年9ヶ月と長い期間を要しましたが、患者様は「両側で噛める幸せ」を取り戻され、非常に満足されています。
インプラントは、欠損期間が長くても骨造成などの技術を組み合わせれば治療可能です。長年奥歯を失って悩んでいる方も、ぜひ一度ご相談ください。